___________________________________
4.1 ENTEROPATÍA PIERDEPROTEÍNAS
___________________________________
- Trastorno caracterizado por la excesiva pérdida de proteínas séricas a través del tracto gastrointestinal, que generalmente condiciona la aparición de hipoproteinemia en pacientes con cáncer.
- Actualmente sabemos que la hipoproteinemia no es debida a una alteración en la síntesis de las proteínas, que en estos pacientes puede ser normal o incluso estar algo incrementada, sino a la DISMINUCIÓN DE LA VIDA MEDIA DE PROTEÍNAS COMO LA ALBÚMINA. En cualquier caso, la enteropatía pierdeproteínas no es la única causa de hipoproteinemia en los pacientes con este trastorno.
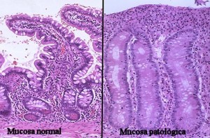
- La enteropatía pierdeproteínas es el resultado del incremento de la permeabilidad de la mucosa a las proteínas séricas, secundaria a la erosión o ulceración de la mucosa gastrointestinal, con la subsiguiente pérdida de proteínas, y a la obstrucción linfática o a ambas, como sucede en la ENTEROPATÍA SECUNDARIA A PATOLOGÍA TUMORAL.
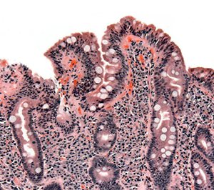
Enteropatía no-celíaca (www.gastroenterologyupdate.com.au)
- La pérdida de proteínas en los trastornos gastrointestinales no es selectiva y afecta a proteínas con diferentes pesos moleculares, tales como:
• Albúmina.
• Inmunoglobulinas.
• Ceruloplasmina.
- Las anteriores proteínas se afectan en proporciones iguales, a diferencia de lo que sucede en trastornos renales, como el síndrome nefrótico.
- Cuando la pérdida de proteínas es mayor que la capacidad de sintetizarlas disminuyen los niveles séricos de proteínas.
- Inicialmente tienden a afectarse más precozmente las proteínas con mayor vida media en suero, tales como la albúmina. Otros constituyentes séricos como el hierro, el cobre o el calcio, que circulan en la sangre asociados a la albúmina, también pueden verse afectados por la hipoproteinemia.
- Los pacientes con hipoproteinemia secundaria a enteropatía pierdeproteínas PUEDEN PRESENTAR EDEMA PERIFÉRICO, PERO ES INFRECUENTE LA APARICIÓN DE ANASARCA.
- A pesar de la disminución de los niveles séricos de inmunoglobulinas y de la pérdida de factores de la coagulación, es raro el desarrollo de infecciones oportunistas y de coagulopatías.
- En ocasiones los pacientes presentan además otros síntomas gastrointestinales, entre los que destaca la diarrea.
- El diagnóstico de la enteropatía pierdeproteínas no suele entrañar grandes dificultades. La hipoproteinemia se detecta en los tests bioquímicos de rutina. Posteriormente es preciso hacer diagnóstico diferencial con la malnutrición y con la enfermedad hepática.
- UN TEST DE LA ALFA-1-ANTITRIPSINA POSITIVO CONFIRMA LA ENTEROPATÍA: Esta proteína se caracteriza por no ser degradada a nivel intestinal, por lo que un incremento en su eliminación implica un incremento en la pérdida intestinal de proteínas.
- El tratamiento de la enteropatía pierdeproteínas asociada a cáncer, es el de la enfermedad neoplásica.
- En presencia de obstrucción linfática, debe instaurarse una dieta baja en grasas. Estos pacientes requieren con frecuencia la administración de TRIGLICÉRIDOS DE CADENA MEDIA, caracterizados por no precisar transporte linfático intestinal.
- Con un adecuado tratamiento antineoplásico y un régimen alimenticio correcto, un gran número de estos pacientes consigue una notable mejoría clínica.
___________________________
4.2 ANOREXIA Y CAQUEXIA
___________________________
- Los pacientes con cáncer desarrollan con mucha frecuencia pérdida de peso, anorexia y caquexia.
- Este trastorno nutricional es el resultado de la suma de varias alteraciones metabólicas, que se manifiestan como un deterioro físico progresivo.
- Más que un simple trastorno estético, la pérdida de peso tiene un IMPORTANTE IMPACTO EN LA SUPERVIVENCIA, especialmente en aquellos pacientes que son sometidos a intervenciones quirúrgicas, a radioterapia y/o a quimioterapia, maniobras que pueden por sí mismas incrementar la malnutrición y la caquexia:
• Los pacientes con pérdidas ponderales más importantes tienen una supervivencia más corta.
• Este recorte en la supervivencia puede verse influenciado por complicaciones infecciosas, por alteraciones en los procesos de cicatrización de las heridas quirúrgicas y por la imposibilidad de completar los esquemas de quimioterapia y radioterapia.
- En los pacientes con cáncer se producen trastornos a nivel de las vías metabólicas, que determinan una reducción en la ingesta.
- Estos trastornos incluyen disfunciones neurológicas, alteraciones del tracto gastrointestinal, cambios en la tolerancia a los alimentos, cambios en los sentidos del gusto y del olfato, síndrome depresivo con aversión hacia la comida y efectos de la quimioterapia.
- La aparición de problemas obstructivos locales y trastornos en la deglución, secundarios a tumores localizados en el tracto digestivo interfiere la ingesta de alimentos.
- Del mismo modo, alteraciones en los mecanismos de digestión y de absorción condicionan una malnutrición.
- Además los tumores producen factores que determinan en los pacientes cambios en la percepción de los alimentos, que interfiere en el disfrute de la comida.
- El papel que desempeña el sistema nervioso central en la regulación del apetito puede verse alterado por factores tumorales. La SEROTONINA parece ser el neurotransmisor responsable en este cambio.
- Cuando los pacientes presentan náuseas, bien secundariamente a la enfermedad, bien secundariamente a la quimioterapia, desarrollan aversión psicológica a la comida, en ocasiones difícil de controlar.
- En los pacientes con cáncer se producen importantes alteraciones del metabolismo. Las principales alteraciones del metabolismo hidrocarbonado en las células neoplásicas son:
• Aumento del consumo de glucosa.
• Incremento de la glicolisis anaerobia, con producción de lactato.
• Incremento de la vía metabólica de la pentosa-fosfato.
- A nivel del huésped se produce:
• Aumento del recambio de glucosa y de la gluconeogénesis hepática.
• Disminución de la sensibilidad a la insulina, con frecuente desarrollo frecuente de intolerancia a la glucosa.
• Disminución del metabolismo glucídico muscular.
• Incremento en la síntesis de lactatos.
- A nivel del metabolismo proteico, destaca:
• Captación selectiva de aminoácidos y el incremento de los requerimientos de metionina y glutamina en las células neoplásicas.
• DESNUTRICIÓN NITROGENADA POR ATRAPAMIENTO TUMORAL y el incremento del catabolismo proteico.
• Utilización de las proteínas procedentes del músculo esquelético en la neoglucogénesis acelerada, con la consiguiente pérdida de aminoácidos y de la masa muscular total.
• A pesar de los suplementos dietéticos con las calorías necesarias, el paciente es incapaz de incorporar los aminoácidos a las proteínas musculares.
• Las proteínas séricas están disminuidas en favor de la producción incrementada de proteínas hepáticas.
- Entre las alteraciones del metabolismo lipídico, a nivel de la célula tumoral destacan:
• Progresiva DISMINUCIÓN DE LA CAPACIDAD DE OXIDACIÓN DE LOS ÁCIDOS GRASOS en función del mayor grado de indiferenciación del tumor.
• LIPOGÉNESIS INADECUADA.
• Incremento de la actividad de la enzima hidroxi-metil-glutaril-CoA-reductasa, que estimula el crecimiento tumoral.
• A nivel del huésped se produce un INCREMENTO DE LA LIPOLISIS y de los ácidos grasos libres en plasma, con disminución de la lipogénesis, por lo que pierden igualmente una gran cantidad de su reserva lipídica, no evitable con la administración de glucosa.
• Muestran además un DESCENSO EN LA LIPOPROTEÍN-LIPASA que es la responsable de introducir los triglicéridos en los adipocitos, con la consiguiente pérdida de peso, por lo que el uso de soporte nutricional con lípidos como fuente calórica predominante parece lo más adecuado.
- Las citoquinas parecen ser las responsables de los cambios metabólicos que padecen los pacientes con cáncer y están siendo actualmente motivo de investigación.
- Las citoquinas implicadas son el factor de necrosis tumoral (FNT), la caquectina, el interferón-gamma, el interferón-1 y la interleukina-6.
- La mayoría de ellas se producen en respuesta a la presencia del tumor más que a factores producidos por él. Así, por ejemplo, el FNT y la caquectina serían sintetizados por los macrófagos, e INHIBIRÍAN A LA LIPOPROTEÍN-LIPASA.
- Por otro lado, el tumor puede producir factores que ocasionan cambios en el estado nutricional, entre los que destacan la SEROTONINA y la BOMBESINA, clásicamente liberadas por los tumores carcinoides y por el carcinoma microcítico de pulmón respectivamente.
- En la evaluación clínica de la malnutrición del paciente con cáncer son cruciales la historia clínica y el examen físico. El conocimiento de la ingesta a lo largo de las semanas previas, el peso del paciente, así como la pérdida del mismo acaecida en los 6 MESES PRECEDENTES proporciona una información pronóstica muy importante.
- Se ha intentado correlacionar los niveles plasmáticos de determinadas proteínas, como la albúmina, la prealbúmina y la transferrina, con el estado nutricional de los pacientes, pero estas mediciones continúan siendo poco sensibles, pues se ven influenciadas por la vida media de dichas proteínas y por factores distintos al estado nutricional.
- La respuesta inmune constituye otro medio de establecer el estado nutricional de los pacientes con cáncer (se correlaciona no sólo con el estado nutricional del paciente, también con su capacidad para luchar contra las infecciones):
• Hipersensibilidad retardada comprobada por pruebas cutáneas estándar.
• Recuento de linfocitos totales.
- Más difícil que la valoración inicial es la valoración del beneficio nutricional con los diferentes tipos de soporte nutricional.
- El BALANCE NITROGENADO es básico en la determinación de la idoneidad de cualquier forma de soporte nutricional. Esta determinación compara los ingresos totales de nitrógeno con las pérdidas urinarias. Un balance positivo se asocia con una adecuada terapia nutricional.
- El tratamiento de pacientes con malnutrición y cáncer es similar al de otras formas de estrés severo, como quemaduras, traumatismos y sepsis, asociadas a malnutrición: EL OBJETIVO PRIMARIO ES LOGRAR UNA ADECUADA INGESTA CALÓRICA.
- Frecuentemente la decisión más difícil a la que se enfrenta el clínico es la elección de la vía de administración:
• La administración enteral se prefiere en la mayoría de los casos.
• A la hora de determinar las necesidades nutricionales de un paciente con cáncer es preciso valorar las diferentes situaciones de estrés a las que se encuentre sometido, incluyendo el propio proceso tumoral, las infecciones intercurrentes, las intervenciones quirúrgicas, etc., que deben ser añadidas a las necesidades calóricas basales.
• Además de las necesidades calóricas deben administrase de 1 a 1,5 gr/Kg de peso de proteínas adicionales.
• LOS LÍPIDOS DEBEN REPRESENTAR ENTRE EL 20% AL 40% DEL TOTAL DE LAS CALORÍAS NO PROTEICAS.
• Las fórmulas enterales y de nutrición parenteral han sido desarrolladas para equilibrar estos factores.
• Una vez iniciado el soporte nutricional, es preciso determinar las pérdidas de nitrógeno por orina, sin olvidar que las pérdidas insensibles de nitrógeno por heces suponen 2 gramos aproximadamente.
• Utilizando estos valores se puede calcular el balance nitrogenado, que debe ser positivo, queriendo decir que el paciente está recibiendo más nitrógeno del que está eliminando. Este aspecto es fundamental a la hora de determinar si está recibiendo un aporte calórico adecuado.
- Existen numerosos fármacos estimulantes del apetito en el mercado. La mayoría tiene un beneficio mínimo. Entre los más utilizados se encuentran:
o ACETATO DE MEGESTROL: Incrementa el apetito y la ingesta de comida en pacientes con cáncer avanzado y carece de los efectos secundarios de los corticoides; la dosis óptima para estimular el apetito es de 800mg/día. Se ha desarrollado una fórmula líquida para administrar dosis más altas a pacientes que lo requieran.
o CANNABINOIDES: Se han utilizado en el tratamiento de la anorexia en pacientes con SIDA, pero actualmente no contamos con datos objetivos en pacientes con cáncer.
o CORTICOIDES: Pueden ser eficaces pero su uso a largo plazo está limitado por los efectos secundarios
o CIPROHEPTADINA.
o HIDRAZINA.
- En resumen, la administración combinada de preparados farmacológicos y de soporte nutricional puede ser exitosa en el tratamiento de pacientes malnutridos con cáncer.
__________________________________________________________







excelente artículo de revisión
ResponderEliminarJuan Macaluso